長引く足首の痛みと腫れに 変形性足関節症の診断と治療 医療新聞digital 公式
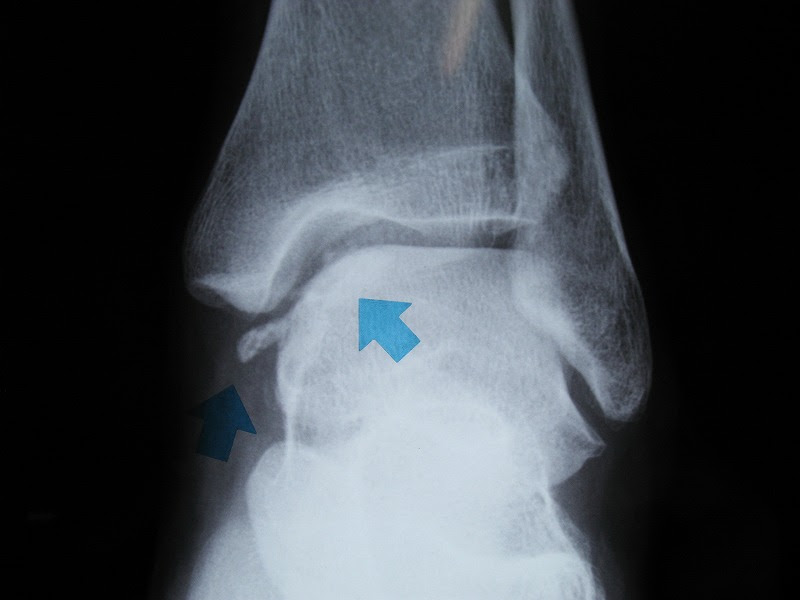
摘出した関節遊離体 摘出した関節遊離体(ねずみ)の画像はこれ。 1cmにも満たない小さな(骨片)ネズミだった。 こんなのが肘にあるだけでロッキングやら投球時の痛みを誘発する。 術後の痛み 当日の麻酔が切れた後(夕方)頃が一番痛い。 関節ねずみとは? 関節ねずみとは、関節内に出来た骨の破片のことを言います。 関節ねずみとは俗称で、正式名称は「関節遊離体」「遊離軟骨」「関節内遊離体」などと呼ばれます。 ただ正式名称が長い上に色々な呼び方がされるので、関節ねずみと呼ばれることの方が多いと思います。
関節遊離体 リハビリ
関節遊離体 リハビリ-体を認めた. 遊離体摘出のために肘関節鏡を施行した.遊離体 は腕尺関節外側部にあり,容易に尺骨と上腕骨の間に はまり込むことが確認され,鏡視下に嵌頓した遊離体 を摘出した.摘出した遊離体は大きさ10×8mmで軟骨 下骨はみられず,軟骨成分のみで関節遊離体のリハビリ治療や手術の説明 肘の関節ねずみはロッキング症状が伴うとスポーツだけでなく日常生活でも支障がでます。 そもそも関節ねずみって? 手術とかはどうするの? そんな疑問がある場合は是非、目を通してみて下さい。 関連記事と
関節内遊離体 関節ねずみ との関連性をaiで無料でチェック
肘関節遊離体(いわゆる関節ネズミ) 起こりうる傷害か 主に野球、体操などで起こります。 どのような痛みが生じるか 遊離体が収まりの良いところにいれば症状がない場合もありますが、動き始めると肘が動く角度に制限(伸びない、曲がらない)や下肢のスポーツ障害 膝 半月板損傷 前十字靱帯損傷 後十字靱帯損傷 内側側副靱帯損傷 離断性骨軟骨炎 反復性膝蓋骨脱臼(膝蓋骨不安定症) 棚障害 関節遊離体 ジャンパー膝(膝蓋腱症) オスグッド病 腸脛靱帯炎(ランナー膝) 鵞足炎 裂離骨折 変形性③ 関節遊離体 ・・・ 関節ねずみとも呼ばれる 肘関節障害に対する皮膚切開での手術は、肘の正常な腱や筋を分けて関節に至る必要があったため、肘の動きを取り戻すのに時間がかかり、1年近くのリハビリと競技制限を要します。
よって、膝に水が溜まる根本の原因は、 炎症や関節遊離体などの異物の混入 が起きることです。 膝に水が溜まった時の症状 膝関節が腫れ、曲げにくくなる。結果、立ち座りや歩く動作がしづらくなる。 立ったり、歩くなど、膝に体重が乗ると膝に痛みが野球肘(離断性骨軟骨炎、内側側副靱帯損傷、関節内遊離体、関節ネズミ) 変形性肘関節症(投球系・格闘技系)肘部管症候群 肘関節脱臼 内側側副靱帯断裂 後外側回旋不安定症 手・指関節遊離体が認められる。 5 治療 まず,保存的治療が原則であり,消炎鎮痛剤,湿布, 軟膏などを処方し,大腿四頭筋を中心とした下肢の筋力 訓練,大腿四頭筋・ハムストリングのストレッチング, 温熱・電気治療を行う。肥満がある場合には食事指導
関節遊離体 リハビリのギャラリー
各画像をクリックすると、ダウンロードまたは拡大表示できます
![]() 野球肘 外側型 榎本メディカル えのもと整骨院 鍼灸院 深江橋駅 3分 大阪市 城東区 | 野球肘 外側型 榎本メディカル えのもと整骨院 鍼灸院 深江橋駅 3分 大阪市 城東区 | 野球肘 外側型 榎本メディカル えのもと整骨院 鍼灸院 深江橋駅 3分 大阪市 城東区 |
![]() 野球肘 外側型 榎本メディカル えのもと整骨院 鍼灸院 深江橋駅 3分 大阪市 城東区 | ![]() 野球肘 外側型 榎本メディカル えのもと整骨院 鍼灸院 深江橋駅 3分 大阪市 城東区 | 野球肘 外側型 榎本メディカル えのもと整骨院 鍼灸院 深江橋駅 3分 大阪市 城東区 |
![]() 野球肘 外側型 榎本メディカル えのもと整骨院 鍼灸院 深江橋駅 3分 大阪市 城東区 | ![]() 野球肘 外側型 榎本メディカル えのもと整骨院 鍼灸院 深江橋駅 3分 大阪市 城東区 | 野球肘 外側型 榎本メディカル えのもと整骨院 鍼灸院 深江橋駅 3分 大阪市 城東区 |
![]() 野球肘 外側型 榎本メディカル えのもと整骨院 鍼灸院 深江橋駅 3分 大阪市 城東区 | ![]() 野球肘 外側型 榎本メディカル えのもと整骨院 鍼灸院 深江橋駅 3分 大阪市 城東区 | ![]() 野球肘 外側型 榎本メディカル えのもと整骨院 鍼灸院 深江橋駅 3分 大阪市 城東区 |
![]() 野球肘 外側型 榎本メディカル えのもと整骨院 鍼灸院 深江橋駅 3分 大阪市 城東区 | ![]() 野球肘 外側型 榎本メディカル えのもと整骨院 鍼灸院 深江橋駅 3分 大阪市 城東区 | 野球肘 外側型 榎本メディカル えのもと整骨院 鍼灸院 深江橋駅 3分 大阪市 城東区 |
野球肘 外側型 榎本メディカル えのもと整骨院 鍼灸院 深江橋駅 3分 大阪市 城東区 | 野球肘 外側型 榎本メディカル えのもと整骨院 鍼灸院 深江橋駅 3分 大阪市 城東区 | ![]() 野球肘 外側型 榎本メディカル えのもと整骨院 鍼灸院 深江橋駅 3分 大阪市 城東区 |
![]() 野球肘 外側型 榎本メディカル えのもと整骨院 鍼灸院 深江橋駅 3分 大阪市 城東区 | 野球肘 外側型 榎本メディカル えのもと整骨院 鍼灸院 深江橋駅 3分 大阪市 城東区 | ![]() 野球肘 外側型 榎本メディカル えのもと整骨院 鍼灸院 深江橋駅 3分 大阪市 城東区 |
![]() 野球肘 外側型 榎本メディカル えのもと整骨院 鍼灸院 深江橋駅 3分 大阪市 城東区 | ![]() 野球肘 外側型 榎本メディカル えのもと整骨院 鍼灸院 深江橋駅 3分 大阪市 城東区 | ![]() 野球肘 外側型 榎本メディカル えのもと整骨院 鍼灸院 深江橋駅 3分 大阪市 城東区 |
![]() 野球肘 外側型 榎本メディカル えのもと整骨院 鍼灸院 深江橋駅 3分 大阪市 城東区 | ![]() 野球肘 外側型 榎本メディカル えのもと整骨院 鍼灸院 深江橋駅 3分 大阪市 城東区 | 野球肘 外側型 榎本メディカル えのもと整骨院 鍼灸院 深江橋駅 3分 大阪市 城東区 |
野球肘 外側型 榎本メディカル えのもと整骨院 鍼灸院 深江橋駅 3分 大阪市 城東区 | 野球肘 外側型 榎本メディカル えのもと整骨院 鍼灸院 深江橋駅 3分 大阪市 城東区 | 野球肘 外側型 榎本メディカル えのもと整骨院 鍼灸院 深江橋駅 3分 大阪市 城東区 |
![]() 野球肘 外側型 榎本メディカル えのもと整骨院 鍼灸院 深江橋駅 3分 大阪市 城東区 | 野球肘 外側型 榎本メディカル えのもと整骨院 鍼灸院 深江橋駅 3分 大阪市 城東区 | ![]() 野球肘 外側型 榎本メディカル えのもと整骨院 鍼灸院 深江橋駅 3分 大阪市 城東区 |
野球肘 外側型 榎本メディカル えのもと整骨院 鍼灸院 深江橋駅 3分 大阪市 城東区 | 野球肘 外側型 榎本メディカル えのもと整骨院 鍼灸院 深江橋駅 3分 大阪市 城東区 | ![]() 野球肘 外側型 榎本メディカル えのもと整骨院 鍼灸院 深江橋駅 3分 大阪市 城東区 |
![]() 野球肘 外側型 榎本メディカル えのもと整骨院 鍼灸院 深江橋駅 3分 大阪市 城東区 | ![]() 野球肘 外側型 榎本メディカル えのもと整骨院 鍼灸院 深江橋駅 3分 大阪市 城東区 | 野球肘 外側型 榎本メディカル えのもと整骨院 鍼灸院 深江橋駅 3分 大阪市 城東区 |
![]() 野球肘 外側型 榎本メディカル えのもと整骨院 鍼灸院 深江橋駅 3分 大阪市 城東区 | ![]() 野球肘 外側型 榎本メディカル えのもと整骨院 鍼灸院 深江橋駅 3分 大阪市 城東区 | 野球肘 外側型 榎本メディカル えのもと整骨院 鍼灸院 深江橋駅 3分 大阪市 城東区 |
野球肘 外側型 榎本メディカル えのもと整骨院 鍼灸院 深江橋駅 3分 大阪市 城東区 | ![]() 野球肘 外側型 榎本メディカル えのもと整骨院 鍼灸院 深江橋駅 3分 大阪市 城東区 | ![]() 野球肘 外側型 榎本メディカル えのもと整骨院 鍼灸院 深江橋駅 3分 大阪市 城東区 |
![]() 野球肘 外側型 榎本メディカル えのもと整骨院 鍼灸院 深江橋駅 3分 大阪市 城東区 | ![]() 野球肘 外側型 榎本メディカル えのもと整骨院 鍼灸院 深江橋駅 3分 大阪市 城東区 | 野球肘 外側型 榎本メディカル えのもと整骨院 鍼灸院 深江橋駅 3分 大阪市 城東区 |
野球肘 外側型 榎本メディカル えのもと整骨院 鍼灸院 深江橋駅 3分 大阪市 城東区 | 野球肘 外側型 榎本メディカル えのもと整骨院 鍼灸院 深江橋駅 3分 大阪市 城東区 | ![]() 野球肘 外側型 榎本メディカル えのもと整骨院 鍼灸院 深江橋駅 3分 大阪市 城東区 |
野球肘 外側型 榎本メディカル えのもと整骨院 鍼灸院 深江橋駅 3分 大阪市 城東区 | ![]() 野球肘 外側型 榎本メディカル えのもと整骨院 鍼灸院 深江橋駅 3分 大阪市 城東区 | ![]() 野球肘 外側型 榎本メディカル えのもと整骨院 鍼灸院 深江橋駅 3分 大阪市 城東区 |
野球肘 外側型 榎本メディカル えのもと整骨院 鍼灸院 深江橋駅 3分 大阪市 城東区 | ![]() 野球肘 外側型 榎本メディカル えのもと整骨院 鍼灸院 深江橋駅 3分 大阪市 城東区 | 野球肘 外側型 榎本メディカル えのもと整骨院 鍼灸院 深江橋駅 3分 大阪市 城東区 |
野球肘 外側型 榎本メディカル えのもと整骨院 鍼灸院 深江橋駅 3分 大阪市 城東区 | 野球肘 外側型 榎本メディカル えのもと整骨院 鍼灸院 深江橋駅 3分 大阪市 城東区 | ![]() 野球肘 外側型 榎本メディカル えのもと整骨院 鍼灸院 深江橋駅 3分 大阪市 城東区 |
![]() 野球肘 外側型 榎本メディカル えのもと整骨院 鍼灸院 深江橋駅 3分 大阪市 城東区 | 野球肘 外側型 榎本メディカル えのもと整骨院 鍼灸院 深江橋駅 3分 大阪市 城東区 | ![]() 野球肘 外側型 榎本メディカル えのもと整骨院 鍼灸院 深江橋駅 3分 大阪市 城東区 |
![]() 野球肘 外側型 榎本メディカル えのもと整骨院 鍼灸院 深江橋駅 3分 大阪市 城東区 | ![]() 野球肘 外側型 榎本メディカル えのもと整骨院 鍼灸院 深江橋駅 3分 大阪市 城東区 | ![]() 野球肘 外側型 榎本メディカル えのもと整骨院 鍼灸院 深江橋駅 3分 大阪市 城東区 |
![]() 野球肘 外側型 榎本メディカル えのもと整骨院 鍼灸院 深江橋駅 3分 大阪市 城東区 | ![]() 野球肘 外側型 榎本メディカル えのもと整骨院 鍼灸院 深江橋駅 3分 大阪市 城東区 | ![]() 野球肘 外側型 榎本メディカル えのもと整骨院 鍼灸院 深江橋駅 3分 大阪市 城東区 |
野球肘 外側型 榎本メディカル えのもと整骨院 鍼灸院 深江橋駅 3分 大阪市 城東区 | ![]() 野球肘 外側型 榎本メディカル えのもと整骨院 鍼灸院 深江橋駅 3分 大阪市 城東区 | ![]() 野球肘 外側型 榎本メディカル えのもと整骨院 鍼灸院 深江橋駅 3分 大阪市 城東区 |
![]() 野球肘 外側型 榎本メディカル えのもと整骨院 鍼灸院 深江橋駅 3分 大阪市 城東区 | ![]() 野球肘 外側型 榎本メディカル えのもと整骨院 鍼灸院 深江橋駅 3分 大阪市 城東区 | 野球肘 外側型 榎本メディカル えのもと整骨院 鍼灸院 深江橋駅 3分 大阪市 城東区 |
野球肘 外側型 榎本メディカル えのもと整骨院 鍼灸院 深江橋駅 3分 大阪市 城東区 | 野球肘 外側型 榎本メディカル えのもと整骨院 鍼灸院 深江橋駅 3分 大阪市 城東区 | 野球肘 外側型 榎本メディカル えのもと整骨院 鍼灸院 深江橋駅 3分 大阪市 城東区 |
![]() 野球肘 外側型 榎本メディカル えのもと整骨院 鍼灸院 深江橋駅 3分 大阪市 城東区 | ![]() 野球肘 外側型 榎本メディカル えのもと整骨院 鍼灸院 深江橋駅 3分 大阪市 城東区 | 野球肘 外側型 榎本メディカル えのもと整骨院 鍼灸院 深江橋駅 3分 大阪市 城東区 |
野球肘 外側型 榎本メディカル えのもと整骨院 鍼灸院 深江橋駅 3分 大阪市 城東区 | ![]() 野球肘 外側型 榎本メディカル えのもと整骨院 鍼灸院 深江橋駅 3分 大阪市 城東区 | 野球肘 外側型 榎本メディカル えのもと整骨院 鍼灸院 深江橋駅 3分 大阪市 城東区 |
![]() 野球肘 外側型 榎本メディカル えのもと整骨院 鍼灸院 深江橋駅 3分 大阪市 城東区 | ![]() 野球肘 外側型 榎本メディカル えのもと整骨院 鍼灸院 深江橋駅 3分 大阪市 城東区 | ![]() 野球肘 外側型 榎本メディカル えのもと整骨院 鍼灸院 深江橋駅 3分 大阪市 城東区 |
![]() 野球肘 外側型 榎本メディカル えのもと整骨院 鍼灸院 深江橋駅 3分 大阪市 城東区 | ![]() 野球肘 外側型 榎本メディカル えのもと整骨院 鍼灸院 深江橋駅 3分 大阪市 城東区 | ![]() 野球肘 外側型 榎本メディカル えのもと整骨院 鍼灸院 深江橋駅 3分 大阪市 城東区 |
野球肘 外側型 榎本メディカル えのもと整骨院 鍼灸院 深江橋駅 3分 大阪市 城東区 | ![]() 野球肘 外側型 榎本メディカル えのもと整骨院 鍼灸院 深江橋駅 3分 大阪市 城東区 | ![]() 野球肘 外側型 榎本メディカル えのもと整骨院 鍼灸院 深江橋駅 3分 大阪市 城東区 |
![]() 野球肘 外側型 榎本メディカル えのもと整骨院 鍼灸院 深江橋駅 3分 大阪市 城東区 | ![]() 野球肘 外側型 榎本メディカル えのもと整骨院 鍼灸院 深江橋駅 3分 大阪市 城東区 | ![]() 野球肘 外側型 榎本メディカル えのもと整骨院 鍼灸院 深江橋駅 3分 大阪市 城東区 |
![]() 野球肘 外側型 榎本メディカル えのもと整骨院 鍼灸院 深江橋駅 3分 大阪市 城東区 | 野球肘 外側型 榎本メディカル えのもと整骨院 鍼灸院 深江橋駅 3分 大阪市 城東区 | ![]() 野球肘 外側型 榎本メディカル えのもと整骨院 鍼灸院 深江橋駅 3分 大阪市 城東区 |
野球肘 外側型 榎本メディカル えのもと整骨院 鍼灸院 深江橋駅 3分 大阪市 城東区 | ![]() 野球肘 外側型 榎本メディカル えのもと整骨院 鍼灸院 深江橋駅 3分 大阪市 城東区 | ![]() 野球肘 外側型 榎本メディカル えのもと整骨院 鍼灸院 深江橋駅 3分 大阪市 城東区 |
野球肘 外側型 榎本メディカル えのもと整骨院 鍼灸院 深江橋駅 3分 大阪市 城東区 | ![]() 野球肘 外側型 榎本メディカル えのもと整骨院 鍼灸院 深江橋駅 3分 大阪市 城東区 |
家庭医学館 関節遊離体(関節鼠)の用語解説 どんな病気か 主として軟骨や骨の小片が、関節内に遊離して動きまわるものを、関節遊離体あるいは関節鼠といいます。 このようなことがおこる原因としては、離断性骨軟骨炎(りだんせいこつなんこつえん)、骨軟骨腫症(こつなんこつしゅ 膝の関節ネズミの治療法とは? さて、ここからは膝関節に現れる通称「ネズミ」と呼ばれている関節内遊離体の治療法について紹介してまいりましょう。 関節内遊離体は、骨軟骨片が完全に剥離して関節内を移動しているものを指します。 骨軟骨片が
Incoming Term: 関節遊離体 足首 症状, 関節遊離体 足首 手術, 関節遊離体 手術 入院期間, 関節遊離体 肘, 関節遊離体 原因, 関節遊離体 膝, 関節遊離体 指, 関節遊離体 英語, 関節遊離体 肩, 関節遊離体 リハビリ,


































































0 件のコメント:
コメントを投稿